Το υπερηχογράφημα Β’ επίπεδου είναι ο λεπτομερής υπερηχογραφικός έλεγχος του εμβρύου μεταξύ 18-22 εβδομάδων κύησης, που έχει ως σκοπό τη συλλογή με ακρίβεια διαγνωστικών πληροφοριών που θα βελτιώσουν την προγεννητική φροντίδα και θα δώσουν πληροφορίες για τον τοκετό, με τελικό σκοπό την καλύτερη έκβαση της κύησης για τη μητέρα και το έμβρυο.
Πιο συγκεκριμένα, καθορίζεται η ηλικία της κύησης, πραγματοποιούνται μετρήσεις του εμβρύου (βιομετρία) για τον έλεγχο της ανάπτυξής του και ανακαλύπτονται συγγενείς ανωμαλίες του εμβρύου. Η αξιοπιστία της εξέτασης είναι 55% για μείζονες ανατομικές ανωμαλίες του εμβρύου (αυτές που απαιτούν μετά τη γέννηση χειρουργική αποκατάσταση ή οδηγούν σε κάποιου βαθμού αναπηρία).
Η εξέταση πραγματοποιείται από υπερηχογραφιστές που είναι πιστοποιημένοι για την εκτέλεσή της, εκτελούν υπερηχογραφήματα σε τακτική βάση, ενημερώνονται συνεχώς και, τέλος, μπορούν να καθοδηγήσουν τις ασθενείς σε περιπτώσεις παθολογικών ευρημάτων.
Στο ιατρείο του Μαιευτήρος – Γυναικολόγου Αλέξανδρου Μάινα, στην Κομοτηνή, το υπερηχογράφημα Β’ επίπεδου πραγματοποιείται με τον υπερσύγχρονο υπερηχοτομογράφο Voluson S 10 GE Healthcare BT16 (1ος εγκατεστημένος στην Β. Ελλάδα).

Υπερηχογράφημα Β΄ επιπέδου
Οι βασικές τομές που λαμβάνονται είναι η διακοιλιακή και η διαπαραγκεφαλιδική τομή, όπου ελέγχεται μια πλειάδα ανατομικών τμημάτων του εγκεφάλου, όπως οι πλάγιες κοιλίες, το διαφανές διάφραγμα, οι θάλαμοι, η παραγκεφαλίδα, ο σκώληκας η 4η κοιλία του εγκεφάλου και, όταν απαιτείται, λαμβάνονται επιπλέον τομές, όπως η οβελιαία και η στεφανιαία τομή για έλεγχο των κοιλιών του εγκεφάλου και του μεσολοβίου σώματος.

Το μέτωπο, οι οφθαλμικοί κόγχοι, τα χείλη και τα αυτιά ανευρίσκονται σταθερά μετά την 12 εβδ. Οβελιαίες, εγκάρσιες και στεφανιαίες τομές είναι αποκαλυπτικές για την εκτίμηση της ανατομίας. Η μέση οβελιαία τομή μάς δίνει το προφίλ του εμβρύου, ενώ οι παραβελιαίες που εφάπτονται στο κρανίο τα αυτιά. Ωστόσο, οι πιο σημαντικές είναι οι στεφανιαίες για την ανεύρεση όλης της ανατομίας.

Για την εξέταση των πνευμόνων η τομή των 4 κοιλοτήτων είναι αρκετή. Σε αυτή την τομή οι πνεύμονες είναι ομοιογενώς ηχογενείς, ενώ στο υπερηχογράφημα των 18-23 εβδ. το κεντρικό 1/3 της τομής αυτής, καλύπτεται από την καρδιά και το υπόλοιπο από τους πνεύμονες. Με αυτή την τομή μπορούμε να μετρήσουμε και την περιφέρεια της θωρακικής κοιλότητας. Η οβελιαία τομή του εμβρυϊκού κορμού επιτρέπει να αναγνωριστεί το διάφραγμα που χωρίζει τη θωρακική από την κοιλιακή κοιλότητα.

Οι βασικές τομές που λαμβάνονται είναι η τομή των 4 κοιλοτήτων της καρδιάς, όπου ανακαλύπτεται το 60% των βλαβών της, η τομή εξόδου της αορτής και της πνευμονικής αρτηρίας, καθώς και η τομή των 3 αγγείων όπου γίνεται ενδελεχής έλεγχος των μεγάλων αγγείων και των συνδέσεων μεταξύ τους. Σε τυχόν υπόνοιες βλαβών, λαμβάνονται επιπλέον τομές ή ζητείται ειδικός υπερηχο-εμβρυο-καρδιολογικός έλεγχος του εμβρύου.

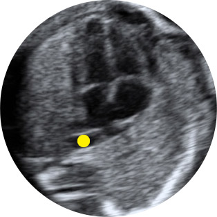
Τα άκρα ως μπουμπούκια εμφανίζονται πρώτη φορά στις 8 εβδ., ενώ το μηριαίο και το βραχιόνιο οστούν εμφανίζεται από την 9η εβδ. και η κνήμη/περόνη και κερκίδαωλένη από την 10ηεβδ., ενώ τα δάκτυλα των ποδιών και των χεριών από την 11η εβδ. Όλα τα οστά ανευρίσκονται από την 11ηεβδ. Κινήσεις του σώματος φαίνονται από την 9η εβδ. και των άκρων από την 11η εβδ. Τα μήκη του βραχιονίου, της κερκίδας/ωλένης του μηριαίου και της κνήμης/περόνης είναι όμοια και αυξάνουν γραμμικώς. Στο U/S των 18-23εβ. τα τρία τμήματα κάθε άκρου θα πρέπει να αναγνωρίζονται, αλλά να μετράται μόνο το μηριαίο.

Η φυσιολογική ανάπτυξη του πρόσθιου κοιλιακού τοιχώματος εξαρτάται από τη συγχώνευση 4 εξωδερμικών πτυχών (κεφαλική, ουριαία, 2 πλάγιες). Στις 8-10 εβδ. όλα τα έμβρυα παρουσιάζουν τη φυσιολογική κήλη του μέσου εντέρου, που εμφανίζεται ως υπερηχογενής μάζα στη βάση του ΟΛ, η οποία όμως στο διάστημα 10-12 εβδ. επιστρέφει στο εσωτερικό της κοιλιάς. Η διαδικασία αυτή έχει ολοκληρωθεί στις 11+5 εβδ. οπότε πλέον είναι ορατή η φυσιολογική ανατομία της κοιλιάς που εξετάζεται σε εγκάρσιες τομές. Έτσι φαίνεται η είσοδος του ΟΛ στην κοιλιά, αλλά απεικονίζεται και η ουροδόχος κύστη εντός της πυέλου, αποκλείοντας έτσι, εκστροφή της ουροδόχου κύστης και της κλοάκας.

Υπερηχογραφικώς ο στόμαχος φαίνεται από την 9ηεβδ. σαν μια ηχογενής κυστική περιοχή στο άνω αριστερό τμήμα της κοιλιάς. Το έντερο είναι φυσιολογικά το ίδιο ηχογενές σε όλα τα σημεία του μέχρι το 3ο τρίμηνο, οπότε και μηκώνιο γεμίζει τις έλικες του παχέος εντέρου. Το ήπαρ διακρίνεται στην άνω κοιλιά με τον αριστερό λοβό μεγαλύτερο σε μέγεθος από τον δεξι, λόγω της μεγαλύτερης χορήγησης οξυγόνου σε αυτόν. Η χοληδόχος κύστη είναι ωοειδής κυστικός σχηματισμός δεξιά και κάτω από το ενδοηπατικό τμήμα της ΟΦ. Ο σπλήνας βρίσκεται σε εγκάρσια διάμετρο πίσω και αριστερά του στομάχου. Η AC πρέπει να μετράται στο επίπεδο του στομάχου του ήπατος και του διχασμού της πυλαίας φλέβας. Σε εγκάρσια διάμετρο βρίσκεται αριστερά της ΣΣ η αορτή και δεξιά η κάτω κοίλη φλέβα, ενώ αριστερά της αορτής ο στόμαχος.
Οι νεφροί και τα επινεφρίδια βρίσκονται κάτω από το επίπεδο του στομάχου σε κάθε πλευρά μπροστά από την ΣΣ και φαίνονται από την 9η εβδ., αλλά σε όλες τις περιπτώσεις από την 12η εβδ. Η ηχογένειά τους είναι μεγάλη στις 9εβδ., αλλά ελαττώνεται με την ηλικία κύησης. Οι επιμήκεις και οι εγκάρσιες τομές της κοιλιάς εξετάζουν τους νεφρούς. Πιο συγκεκριμένα, στην επιμήκη τομή έχουν ελλειπτική εικόνα, ενώ στην εγκάρσια ωοειδή. Είναι λίγο πιο υποηχοϊκοί σε σχέση με το ήπαρ και τις έλικες του εντέρου. Στις 20 εβδ. έχουν μια υπερηχοϊκή περιοχή σαν κάψουλα, με τη φλοιώδη μοίρα πιο ηχογενή από τη μυελώδη. Με την πρόοδο της ηλικίας συσσωρεύεται λίπος γύρω από τους ιστούς, αυξάνοντας τα όρια και κάνοντάς τους πιο διακριτούς από τα γύρω όργανα. Στις 26-28 εβδ. μπορούν να φανούν οι νεφρικοί κάλυκες και οι τοξοειδείς αρτηρίες. Το μήκος και η περίμετρος των νεφρών αυξάνει με την ηλικία, αλλά ο λόγος της περιμέτρου του νεφρού προς αυτή της κοιλιάς παραμένει σταθερός, ίσος με 30% σε όλη την κύηση περίπου. Η προσθοπίσθια διάμετρος του νεφρού είναι <5mm 15-19wk., <6mm 20-29wk. <8mm30-40wk. Οι φυσιολογικοί ουρητήρες σπάνια φαίνονται σε απουσία περιφερικής απόφραξης ή παλινδρόμησης. Η ουροδόχος κύστη φαίνεται από την 11εβδ. στο 80% και άνω του 90% στην 13εβδ.
Ελέγχεται η θέση του πλακούντα, η έκφυση του ομφάλιου λώρου, ο αριθμός των αγγείων που περιέχει η παρουσία τυχόν περιτυλίξεων και κόμπων και, τέλος, μετράται το μήκος του τραχήλου και ελέγχεται η παρουσία τυχόν διαστολής του.

Ο Μαιευτήρας – Γυναικολόγος Αλέξανδρος Μάινας, στην Κομοτηνή, έχει πιστοποιηθεί από το ίδρυμα Εμβρυϊκής Ιατρικής του Λονδίνου, για την εκτέλεση πλήρους υπερηχογραφικού προγεννητικού ελέγχου του εμβρύου.